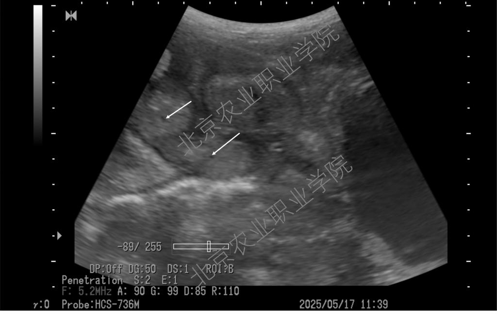
近日,受北京伟杰信生物科技有限公司邀请,动物科技学院兽医超声技术团队为该公司“母猪妊娠21天超声检查技术操作规范”项目提供了重要的技术支撑,并取得重大进展。团队首席专家姜晨副教授梳理了母猪不同体位超声扫查的方法,以便技术人员在不改变母猪体位的情况下做出准确诊断,最大程度上降低怀孕母猪不必要的应激。
近年来,best365姜晨副教授领衔的兽医超声技术团队积极推广超声影像技术在多种动物临床中的应用,并取得一系列技术成果。团队持续探索母猪孕早期超声检查的边界,目前最早可在排卵后第9天确认是否怀孕(可见直径约1mm的卵囊液)。此超声检查技术已达到国际前沿水平,为打开母猪孕初相关的科学研究之门提供了一把金钥匙。

